What is a tissue?
It is a group of cells of similar structure that perform a common function. Individual characteristics are put together in order to form a tissue that has similar functions
What are the 4 types of tissue contained in our body?
Epithelial, connective, muscle, and nervous
What is the main function of the linign epithelium?
To cover external body surfaces and internal body cavities
Where do we find glandular epithelium?
Glands
Cite three places where epithelial tissue is found:
What are the main characteristics of epithelial tissue?
High cellularity (no extracellular space), polarity (apical/basal surfaces), specialized cell-cell contacts, avascularity (depends on underlying connective tissue for metabolic support), highly regenerative (regeneration), with high rates of mitotic division.
Why is diffusion the main cell transport in epithelial tissue?
Because cells are kept so close together that there is no space available for blood vessels. Therefore, oxygen and other nutrients will be transported from cell to cell through diffusion.
What are the different classifications of epithelial cells by cell layers?
Simple (one layer) and stratified (two or more layers)
What are the different classifications of epithelia by cell shape?
Squamous (found in skin), cuboidal, columnar (enterocytes)
What are the main characteristics of simple squamous epithelial tissue?

Single layer of flat, squashed cells. The thinest layer of cells, which is efficient because it’s easier for nutrients to move accross the the tissue (especially in places where protection is not important). Its main functions are diffusion and filtration and it can be found in the alveoli of the lungs, walls of the capillaries, endocardium, and endothelium
What are the main characteristics of simple cuibodal epithelia?

Its main functions are secretion and absorption and are commonly found in kidney tubes and small glands
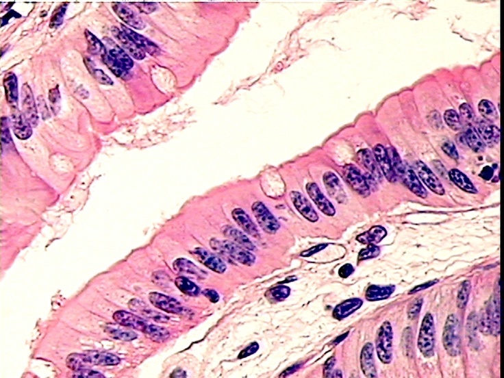
What are the main characteristics of the simple columnar epithelia?

They are even more efficient in secretion and absorption; commonly found in the lining of most digestive tract (especially small intestine) and large glands
How is it called the epithelia formed by a single layer of ciliated cells with different heigths, highly active in secreting and propelling mucus, commonly found in the lining of trachea and bronchi?
Ciliates Pseudostratified Columnar Epithelium

If an epithelial tissue is described as ciliated, it means it does not move.
False. Ciliated cells are actively beating, moving the mucus away, helping to clean the airways from debris and microorganisms (that is why they are commonly found in the majority of the upper respiratory tract)
The stratified squamos epithelia contains _________ cell layers and is responsible for ___________ from abrasion. There are two types: ___________ and ______________. Most commonly found in the mouth, esophagus, anus, and vagina.

Multiple, protection, keratinized, non-keratinized
What is the shape of the basal cells found in non-keratinized stratified squamous epithelia? And the surface cells?
What is the main characteristic of transitional epithelium?
The ability of switching between cell shapes without causing damage. Found in the lining of the urinary bladder
How is the the glandular epithelium formed?
By the invagination of the tissue
What is the main function of the glandular epithelia and how can they be divided?
To produce specialized secretions such as hormones, enzymes, saliva, and mucus. They can be divided in endocrine and exocrine
How can we differentiate between endocrine and exocrine glands?
What are the two main parts of the exocrine glands and how are they classified?
Duct and secretory unit. They can be classified by the structure of the duct (either simple or compound) or by the structure of the secretory unit (tubular, alveloar, or tubuloalveolar)
What are the main characteristics of the endocrine glands?
They do not have ducts as they secrete the products into the surrounding tissue fluid, which are then captured by the capillaries. These glands are mostly responsible for producing hormones which enter the bloodstream to reach the target organ.
What are the main types of cell junctions?
Gap junctions (communication), tight junctions (impermeable barrier), desmosomes (keep cells together; intermediate filaments), and adhesive belt (keep cells together)
Tight junctions (also called occluding junctions) are found in the _______ region and are formed by _____________ membrane proteins. It seals off the intercellular space and ______________. Responsible for maintaing the integrity of ___________ and apical membranes.
Apical, interlocking, prevents intercellular diffusion, lateral