Name the bacteria
Staphylococcus aureus
Which antibiotics are Staphylococcus aureus frequently resistant to?
Penicillin
Methicillin (MRSA)
Vancomycin (VRSA)
What is the major difference betweent the MRSA strains that originated in the communiteis vs the hospitals? Whichs strain is more sensitive? What is the most common community strain?
MRSA-CA has produced PVL toxin, whereare MRSA-HA does not
MRSA-CA (community) is more sensitive
USA300
Which groups of people are at a higher rist for S. aureus infection?
S.aureus virulence structural and quorum sensing? , enzymatic, and toxins
What is the name for density dependent gene expression in bacterial cells?
quorum sensing
S. aureus virulence enzymes?
S. aureus virulence toxins?
How do superantigens work?
They bind the T-cell to the antigen without requiring a specific fit. This results in polyclonal activation of T-cells. Will see a cytokine storm. An antigen is not needed.
How does surface protein A aid in the virulence of S. aureus?
surface protein A binds Fc portion of immunoglobulins. Improper antibody coating prevents proper opsonization and phagocytosis

What is the name of the disease shown in the photo and as described below:
What is the most common bacterial cause of this disease? Second most common?
How would you identify this bacteria?

Disease: impetigo (epidermis and dermis)
caused by S. aureus (80%) and P. pyogenes (20%)
bacteria present in blisters
What is the name of the disease shown in the photo? What bacteia most commonly causes this disease?

Foliculitis: pyogenic infection of hair follicules
hordeolum/Stye (eyelid foliculitis)
caued most commonly by S. aureus
What is the name of the disease shown in the photo? What bacteia most commonly causes this disease?
How would you identify this bacteria?

Folliculitis: pyogenic infection of hair follicles
Furuncle (boil): several hair follicles & adjacent tissue
S. aureus is most common cause
Abscess aspirate, gram stain – gram (+) coccus
What is the name of the disease shown in the photo? What bacteia most commonly causes this disease?
Disease usually occurs on nape of neck, upper back, or buttocks
Initially tight, erythematic skin that later effaces and releases pus

Name the corresponding diseases caused by S. aureus:
How is S. aureus pneumonia caused? What percent of community pneumona is cause by S. aureus? Noscomial?
What is the name of the disease shown in the photo? What bacteia most commonly causes this disease?

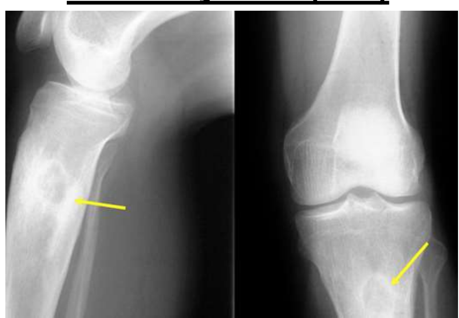
What is the name of the disease shown in the photo? What bacteia most commonly causes this disease?

painful, pus in synovial fluid in te knee, wrist, ankles and hips
How would you identify this bacteria?
Septic arthritis
most common cause is N. gonorrhoea in sexually active group
also cause by S. aureus (#1 cause children and older adults)
Culture the blood to identify
What is the name of the disease shown in the photo? What bacteia most commonly causes this disease?
How would you identify this bacteria?

Scalded skin syndrome (Ritter’s Disease)
ETA/ETB break desmoglein-1 in desmosomes –> cell separation
Check naropharyngeal samples (bacteria rarely in blisters)
What is the name of the disease shown in the photo? What bacteia most commonly causes this disease?

Bullous Impetigo (localized form of SSSS)
bacteria CAn be isolated from skin lesions
What is the name of the disease shown in the photo? What bacteia most commonly causes this disease? What are the 2 toxins that are responsible and what are the different situations in which they present?
How would you identify this bacteria?

Toxic Shock Syndrome (TSS) caused by S. aureus
>90% menstruation and 50% other TSS due to TSST-1
other 50% non menstruation caused by enterotoxin B
can be in vaginal samples– blood samples are negative
What is the disease caused by heat resistant toxins produced by bacteria in food at room temp? Characterized by severe vomiting within 3-6 hours. What is the recommended treatment?
How would you identify the bacteria?
food poisoinin– commonly caused by S. aureus
toxins impact CNS
toxin detectable in vomitus by latex agglutination (no bacteria)
Replacement of fluid (no antibiotic therapy) is recommended
check the food (no bacteria in feces)
What disease is characterized by inflammation of intestinal mucus membrane, watery diarrhea, abdominal cramps and fever after the use of broad spectrum antibiotics?
What bacteria are often responsible for this disease?
Antibiotic associated enterocolitis
Resistant bugs overgrow: S. aureus and C. difficile (more common)
