What are the 6 basic characteristics of epithelial tissue?
Cellularity
Polarity
Attachement
Avascular
Innervation
Regeneration
Epithelial Polarity:
What is the basal domain?
Rests on the basal lamina, anchors cell to underlying connective tissue

Epithelial Polarity:
What is the apical domain?
Directed toward the exterior

Epithelial Polarity:
What is the Lateral domain?
Communicates with adjacent cells

What are the (4) types of apical specializations?
What are microvili?
-Correlate to absorptive capacity
-Actin based
-Can be up to 100k on single cell

What are stereocilia/stereovilli?

What are cilia?
Describe the 3 subcategories

What are flagella?

Intercellular Junctions:
What are occluding junctions?
*OCCLUDINS, CLAUDINS

Intercellular Junctions:
What are anchoring junctions?
2 types:

Intercellular Junctions:
What are gap junctions?

Intercellular Junctions:
What are focal adhesions?
Anchor actin filaments to basement membrane
*use INTEGRINS

Intercellular Junctions:
What are hemidesmosomes?
-Anchor intermediate filaments to basement membrane
*use INTEGRINS

Multiple layers in epithelia is named?
Stratified

Single layer of epithelium named?
Simple epithelium

Epithelium classified by shapes:
What are the classifications (3)?

Table of classificaiton of epithelia:

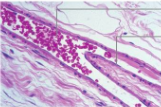
Identify this:

Simple Squamous Epithelium
Where are simple squamous cells found?
Lining of blood and lymphatic vesseles
What is the function of simple squamous cells?
Exchange, barrier and lubrication
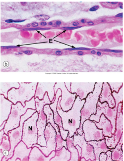
What is this?

Simple squamous epithelium
Simple squamous:
Where found in endothelium?
lining of serous membranes
Simple squamous:
Where found in mesothelium?
Lining alveoli in lungs
Loop of henle in kidney