Patient with dilated cardiomyopathy + alcohol abuse
(1) Diagnosis?
(2)
Alcoholic cardiomyopathy
Abstinence from alcohol
Woman w/ fever 103 F
Vitals:
Exam:
Vancomycin
(sepsis from indwelling catheter - need to cover MRSA)
45 y.o. woman
Exam
Labs:
Nerve conduction studies:
Amyotrophic lateral sclerosis
UPPER motor neuron lesion = babinksi + reflexes
LOWER motor neuron lesions = muscle wasting, twitching, ↑ CK
74 y.o. w/ burning, aching pain in distal extremities x 3 weeks
Exam:
(1) Diagnosis?
(2) Which would be abnormal?
Hypertrophic osteoarthropathy
(also known as hypertrophic pulmonary osteoarthropathy, Bamberger–Marie syndrome or Osteoarthropathia hypertrophicans)
XR of the chest
(associated with non-small cell lung carcinoma. These patients often get clubbing and increased bone deposition on long bones. Their presenting symptoms are sometimes only clubbing and painful ankles.)
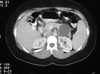
A 55 y.o. woman w/ epigastric pain + vomiting for a 1-day
Exam:
Ultrasound:
(1) Diagnosis?
Choledocholithiasis
(a gallstone pancreatitis due to billiary tract obstruction)
(Most likely from cholesterol stone - note elevated TGs)
56 y.o. w/ fatigue
Exam:
(1) Diagnosis?
Calcification of bicuspid aortic valve
Systolic murmur from 2nd intercostal = MUST be aortic valve
Systolic = stenosis
( Myxomatous degeneration of a valve = cause regurgitation which would produce a diastolic murmur rather than a systolic murmur)
Given this patient’s age, the location of the murmur (in the aortic region - right 2nd ICS) and the systolic murmur with ejection click we can deduce that this is AORTIC and it is STENOTIC.
Myxomatous degeneration of a valve would cause regurgitation which would produce a diastolic murmur rather than a systolic murmur. That eliminates C-D-E. Mitral valve murmurs are generally heard best at the left mid-clavicular line. That eliminates F. Tricuspid murmurs are generally best heard at the left sternal border. That gets rid of G. Don’t get caught up in the root canal distractor.
65 y.o. w/ acute onset bilateral leg weakness + urinary incontinence (2 days ago)
Exam:
(1) Next step?
MRI of lumbosacral spine
28 y.o. w/ aching right shoulder pain @ deltoid muscle
Exam:
(1) Where is the problem?
Supraspinatus tendon
(Patients with rotator cuff tendinopathy complain of shoulder pain with overhead activity.
Patients may localize the pain to the lateral deltoid and often describe pain at night, especially when lying on the affected shoulder.)
Chart shows disease history with time
Which group has the worst 1-year survival rate?

Group B at Year 3-4
This is a tricky question. Pay close attention to the wording. “Rate” is the key word here. So, group B is about 80% at Year 3 and about 40% at year 4 and 35% at year 5. So survival RATE between years 4 and 5 are 35/40 = 87.5% whereas survival rate between years 3 and 4 is 40/80= 50%. Clearly this is the poorest 1-year survival RATE. If the question had instead asked, “What is the year in which there were the least overall survivors?” then the answer would have been E.
22 y.o. with red, skaly rash @ groin
Exam:
KOH stain:
(1) Diagnosis?
(2) Cause?
Tinea cruris
(jock itch + athletes foot)
Autoinfection
Tinea cruris is a contagious infection transmitted by fomites, such as contaminated towels or hotel bedroom sheets, or by autoinoculation from a reservoir on the hands or feet (tinea manuum, tinea pedis, tinea unguium). Tthis condition is also called Jock itch.
For tinea cruris or jock itch the treatment is topical antifungal:
40 y.o. man w/ greasy, diffuse scalp scaling + itching
Exam:
(1) Diagnosis?
Seborrheic dermatitis
Seborrheic dermatitis, also known as seborrheic eczema or simply as seborrhea, is a chronic, relapsing and usually mild dermatitis.
In infants seborrheic dermatitis is called cradle cap.
Dandruff is a type of seborrhoeic dermatitis where inflammation is not present.
Seborrheic dermatitis is a skin disorder affecting the scalp, face, and torso.
Typically, seborrheic dermatitis presents with scaly, flaky, itchy, and red skin. I
t particularly affects the sebaceous-gland-rich areas of skin.
In adolescents and adults, seborrhoeic dermatitis usually presents as scalp scaling or as redness of the nasolabial fold. There is no associated hair loss.
53 y.o. suddenly collapsed + now in coma (in hospital)
EKG:
(1) What rhythm is this?
(2) Treatment?
A) Digitalis
B) Verapamil
C) Carotid sinus massage
D) Direct current countershock
E) External pacing
V-fib
Direct current countershock
(to defibrillate)
35 y.o. patient
Immunizations:
Serum Hep B:
(1) What do you give her today?
A) Diphtheria-tetanus toxoid
B) Hepatitis B
C) Influenza virus
D) Meningococcal
Influenza virus
(due every year)
30 y.o. lady w/ epigastric pain + vomiting x 8 hours
Ultrasound gallbladder
CT abdomen:
(1) What next?
A) HIDA scan
B) Endoscopic retrograde cholangiopancreatography
C) Esophagogastroduodenoscopy
D) Mesenteric angiography
E) Percutaneous transhepatic cholangiography

Endoscopic retrograde cholangiopancreatography
lesions obstructing the ampulla of vater or pancreatic duct should be excluded by ERCP.
This is most likely a pseudocyst.
A HIDA scan is for cholecystitis.
If nonsurgical drainage is contemplated, it is important to elucidate the anatomy of the pancreatic duct beforehand. This may be done via endoscopic retrograde cholangiopancreatography (ERCP) or magnetic resonance imaging (MRI)
50 y.o. man w/ fatigue
Labs:
(1) What supplement couldve helped?
Erythropoetin
The kidney produces EPO
In chronic renal failure anemia must be monitored and EPO can be administered as needed to keep RBC production going.
40 guy w/ sudden severe headache + left side weakness (x1 hour)
Exam:
Fundoscopic:
Labs:
CT head:
(1) If hyperdensity, then what type of stroke is this?
(2) Then, which is greatest risk factor?
(3) What will make less risk for future event?
Hemorrhagic stroke
↑ BP
Lisinopril
This is a lucanar infarct which is associated with HTN and DM
This type of hemorrhagic stroke can be best prevented by lowering BP. Weight loss is the best lifestyle modification to lower BP but at this point, Lisinopril will help lower is BP right away whereas even a successful weight loss routing will take a long time to have an effect.
60 y.o. guy w/ sudden SOB
Hx:
Exam:
(1) In COPD guy, will the O2 slow or increase respir drive?
(2) Then, will more CO2 be retained or blowed off?
(3) Then, what caused his mental status change?
Slow respiratory drive
More CO2 retained
Hypercarbia
90 y.o. lady found down for 8 hours
UA:
(1) Diagnosis?
Rhabdo
30 y.o. w/ irregular periods (x3 years)
Exam:
(1) What med is best?
Oral contraceptive
39 yo w/ SOB for a year
CXR:
(1) Diagnosis?
alpha-1 antitrypsin deficiency
α₁-Antitrypsin deficienc always involves lung bases.
End expiratory wheezes are classic for COPD. Fibrosis would present with end inspiratory crackles but not end expiratory wheezes.
I say “Fire Crackles” = Fibrosis has crackles a
COPD/Emphysema has Wheezes.
Xray showing bullous changes also point toward A1AT def induced emphysema.
49 yo guy w/ acute R knee pain
Exam:
(1) Dx?
Gout
(Risk factors = alcoholism, obesity, HTN, and smoking)
39 yo w/ fever + headache + musk/joint pain
Exam:
Labs:
(1) What 2 meds are commonly given for hyperthyroid?
(2) What is a common side effect of these?
(3) Dx?
Propylthiouracil + methimazole
(don’t use propylthiouracil w/ pregnancy)
Neutropenia
(+ joint pain, rash, liver probs)
69 yo w/ hematemesis
Surg:
Others:
(1) Why is this guy on a blood thinner?
B/c of his artificial valve
49 yo lady w/ abd pain + vomiting yellow liquid
Hx:
Surg:
Exam:
XR:
(1) Dx? Why?
small intestine obstruction
(recent abdominal surgery - adhesions)