Define Metaplasia distinguish between different types and give an example
A reversible change in which one adult cell type (usually epithelial) is replaced by another adult cell type

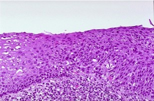
Define Dysplasia, state its main features, results and which tissues are more affected
An abnormal pattern of growth in which some of the cellular and architectural features of malignancy are present (different from metaplasia but occur at the same site, ex. Oesophagus)
What happens in Dysplasia?
Dysplasia is common in:

State the difference between Low Grade and High Grade Dysplasia

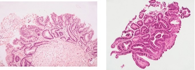
State the most common characteristics of a Benign Tumours, how can they prove dangerous?
Benign

Define Neoplasia, Tumour and Malignancy
What are the main characteristics of Malignant Tumours ?
Define Metastasis, what is the most important determinant?
Metastasis - a discontinuous growing colony of tumour cells, at some distance from the primary cancer (they break off from the primary tumour and then travels to another location)
Which is the basic Nomenclature of Tumours?
What is the distinction of Benign Epithelial Tumours?
Define Carcinoma, how can we divided into types?
What are some examples of Benign Soft Tissue Tumours?
Define Sarcoma, state some possible sarcomas
Distinguish between Leukaemia and Lymphoma
Define Teratoma, what is the differentiation pattern? (state a gender difference)
Define Hamartoma, when is it more common?
What is the difference berween benign and malignat
Grading Vs Staging
